Vuoi un sorriso più bianco e luminoso in poco tempo?
Con lo sbiancamento dentale professionale eliminiamo le macchie e ravviviamo il colore dei tuoi denti.
Contattaci per maggiori informazioni!
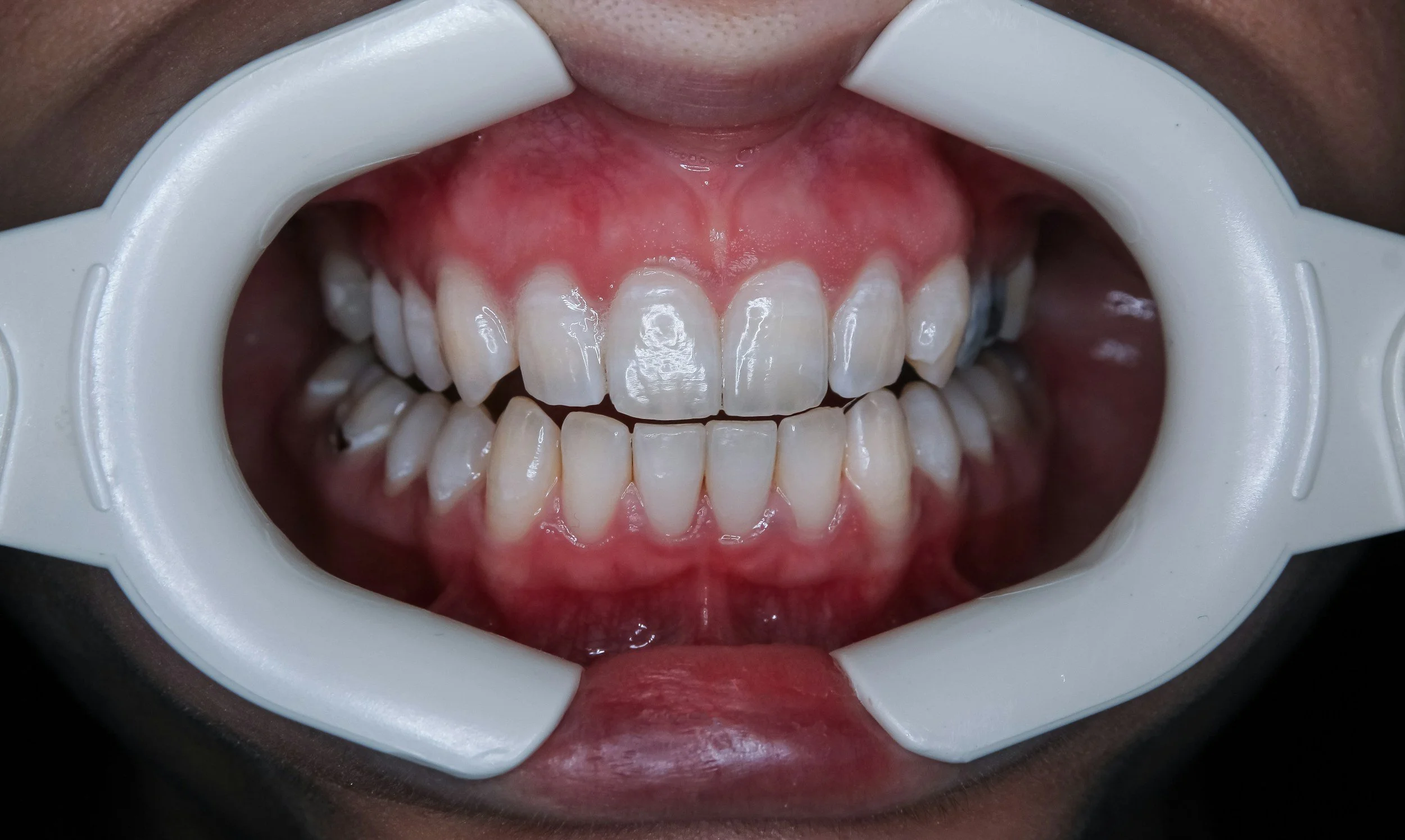
Lo sbiancamento dentale è un trattamento estetico che permette di schiarire il colore dei denti e rimuovere le macchie causate da caffè, fumo, tè, vino o dall’invecchiamento naturale. Grazie a gel sbiancanti professionali attivati da luce LED o laser, il risultato è immediato e sicuro, con un sorriso più brillante e naturale già dalla prima seduta.
I vantaggi dello sbiancamento dentale
Rispetto ai kit fai da te, lo sbiancamento professionale offre risultati più rapidi, visibili e duraturi. È un trattamento sicuro per lo smalto, personalizzabile in base alle esigenze del paziente e svolto sotto controllo medico, per garantire efficacia e protezione
Perché scegliere lo sbiancamento dentale
Scegliere lo sbiancamento professionale significa regalarsi un sorriso più luminoso e sicuro, con un trattamento rapido e non invasivo. È la soluzione ideale per chi desidera valorizzare la propria immagine con risultati immediati e naturali.

